Hands on Lab: Getting to Grips with the Elbow
Hands on Lab: Getting to Grips with the Elbow
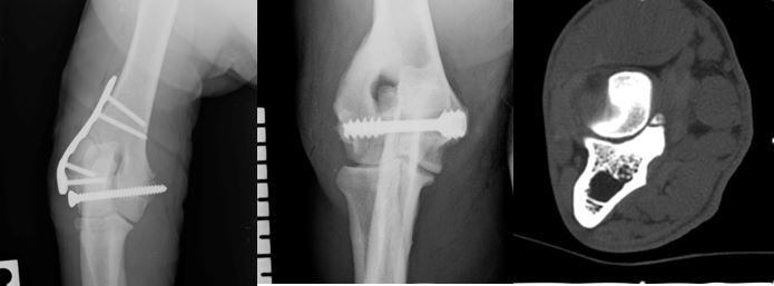
This course serves as an introduction to the management of some of the more common elbow pathologies currently encountered. It aims to guide attendees through the decision-making processes associated with elbow pain, focusing on the management of elbow dysplasia and humeral intercondylar fissure during the morning session.
In the afternoon, there will be a wet lab where attendees can practice screw placement. This session will also cover both medial and lateral approaches to the humeral condyle, as well as the placement of implants to effectively treat these fractures. This course includes both a wet and dry lab.
Duration: (1 day)
CPD points earned:


Securos Surgical
Securos Surgical offer quarterly courses that allow you to hone your skills through hands-on experience in dry and wet lab environments, learning and practicing surgical techniques.
Up and coming course date:
12th March 2025 (1 day)
Price: £1,000
Instructor: Duncan Midgley, BVMS, CERTSAO, MRCVS and
Kinley Smith, MA, VETMB, PhD, CERTSAS, DIPECVS, MRCVS
Venue: Central CPD Skills Lab, London
Email: info@securos.co.uk for further information















